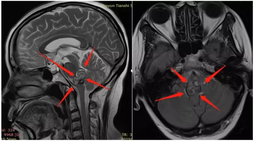
黄女士,年龄50+岁,肢体无力、面部麻木、构音障碍,10多年脑干海绵状血管瘤病史,共发生5次脑干出血。3度因出血引起生命垂危入住ICU治疗60多天,有高血压病史

术前诊断:脑干脑桥海绵状血管瘤,出血活动期,压迫第四脑室

术者:德国INI国际神经学研究所Helmut Bertalanffy(巴特朗菲)教授
手术时间:2019年9月
手术地点:浙江大学医学院附属邵逸夫医院

巴教授手术中

手术结果:显微镜下全切肿瘤,肿瘤切除历时约1.5小时,手术顺利。
ICU治疗时间:1天,可完全自主呼吸,术后第2天拔插管并转出ICU病房。
术后48小时内MR复查显示肿瘤全切

出院时间:术后2周
功能状态情况:术后一周,患者能独立下床、少量活动,面部麻木消失,一侧头部麻木感较手术前好转,发音较术前好转,无其他手术相关并发症,术后10天左右顺利拆线,术后2周出院。
后记:
脑干出血为神经外科危急重症之一,其发病急,病程进展快,致死致残率高,为神经外科颅内出血治疗中一大难题。而脑干出血中桥脑出血约占90%。
50多岁的黄女士就因多次脑干出血在死亡的边缘挣扎,罪魁祸首是她的脑干位置长了一团海绵状的血管瘤(也称血管畸形),手术完整切除一般能得到治愈,但因为病灶在脑干,切除难度极大,国内医生均表示无能为力,后转诊至INC德国巴特朗菲教授,终获全切,目前已回归正常人生活。
INC世界神经外科顾问团旗下的德国巴特朗菲教授、美国Michael Lawton教授均是世界上脑海绵状血管瘤这类脑血管病变手术的知名专家。当面临国内治疗效果不理想,脑海绵状血管瘤患者若想寻求安全安全的高质量手术,可放眼国外请INC国际专家评估手术,国际专家预约咨询热线400-029-0925。